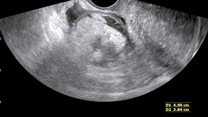
• Ovarian Cyst: Fluid filled sac in ovary is known as ovarian cyst. Common cysts are functional cyst(follicular cyst & corpus luteal cyst),chocolate cysts, dermoid cyst & cystadenoma(benign tumours of ovary). Haemorrhage, tortion & rupture of cyst leads to acute severe abdominal pain.
  • Symptoms: Lower abdominal/ pelvic pain, irregular periods, bloating and heaviness in lower abdomen..or may remain asymptomatic.
  • Findings: A well defined, well encapsulated fluid filled sac in ovary/ adnexal region. A clear fluid filled cyst is always benign. Presence of internal echoes is S/O blood/pus or substance with high molecular weight (which could be haemorrhagic cyst, chocolate cyst or dermoid).

  • Simple Ovarian Cyst: Clear fluid filled cyst is known as simple ovarian cyst.


  • Hemorrhagic Cyst: Bleeding with an ovarian cyst leads to formation of internal echoes, septae and blood clot.


  • Dermoid Cyst: Dermoid cyst in ovary is usually a benign tumor arising from totipotent germ cells. It may contain structures like hair, fluid, skin glands, teeth, etc. On sonography its echo texture is varying due to different contents within it.

Predominantly cystic mass with internal echoes and small well defined solid components.


Complex mass with cystic and solid components. Solid component cast acoustic shadowing suggestive of presence of bone/tooth within it.


Complex dermoid cyst with larger solid component.