• Symptoms: Localized or radiating pain , nausea, vomiting,pus/ blood in urine & fever with chills(with infection)
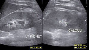
  • Sonography: Sonography can show presence of renal calculi, their number, size, location with signs of obstruction.

Upper ureteric & lower ureteric calculi can be visualized by sonography however middle ureteric calculus may not be visualized due to overlying gas shadows.
  • Renal Calculi:


  • Ureteric Calculi: